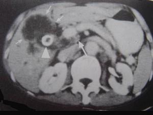
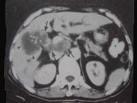
男,68岁,上腹部隐痛二月余,CT检查如图,最可能的诊断是 ( )A、胆囊息肉B、胆囊区转移瘤C、胆囊癌(肿块型)D、胆囊腺肌增生...

作者: rantiku 人气: - 评论: 0
问题 男,68岁,上腹部隐痛二月余,CT检查如图,最可能的诊断是 ( )
选项 A、胆囊息肉 B、胆囊区转移瘤 C、胆囊癌(肿块型) D、胆囊腺肌增生症 E、慢性胆囊炎
答案 C
解析

猜你喜欢

发表评论
更多 网友评论0 条评论)
暂无评论

访问排行

Copyright © 2012-2014 恰考网 Inc. 保留所有权利。 Powered by tikuer.com

页面耗时0.0497秒, 内存占用1.03 MB, Cache:redis,访问数据库18次