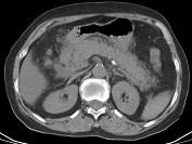
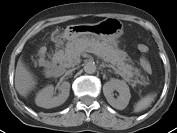
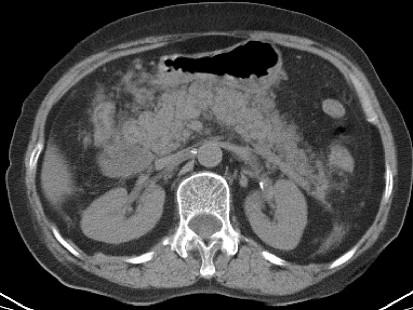
男,30岁,上腹部剧痛,恶心呕吐,压痛反跳痛,血细胞计数升高,血和尿淀粉酶升高,影像表现如图,最可能的诊断是什么 ( )A、急性胰腺炎B、...

作者: rantiku 人气: - 评论: 0
问题 男,30岁,上腹部剧痛,恶心呕吐,压痛反跳痛,血细胞计数升高,血和尿淀粉酶升高,影像表现如图,最可能的诊断是什么 ( )
选项 A、急性胰腺炎 B、慢性胰腺炎 C、胃溃疡穿孔 D、胰腺癌 E、急性肠梗阻
答案 A
解析

猜你喜欢

发表评论
更多 网友评论0 条评论)
暂无评论

访问排行

Copyright © 2012-2014 恰考网 Inc. 保留所有权利。 Powered by tikuer.com

页面耗时0.0514秒, 内存占用1.03 MB, Cache:redis,访问数据库14次