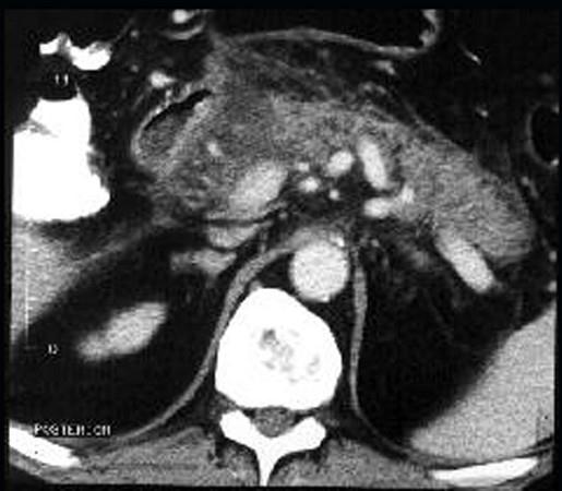
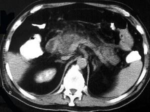
男,32岁,上腹部持续性疼痛,放射至胸背部,高热,恶心呕吐,上腹部压痛反跳痛,CT检查如图,最佳的诊断是 ( )A、慢性胰腺炎急性发作B、...

作者: rantiku 人气: - 评论: 0
问题 男,32岁,上腹部持续性疼痛,放射至胸背部,高热,恶心呕吐,上腹部压痛反跳痛,CT检查如图,最佳的诊断是 ( )
选项 A、慢性胰腺炎急性发作 B、胰腺癌 C、出血坏死性胰腺炎 D、慢性胰腺炎 E、急性单纯性胰腺炎
答案 C
解析

猜你喜欢

发表评论
更多 网友评论0 条评论)
暂无评论

访问排行

Copyright © 2012-2014 恰考网 Inc. 保留所有权利。 Powered by tikuer.com

页面耗时0.0542秒, 内存占用1.03 MB, Cache:redis,访问数据库14次