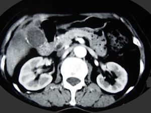
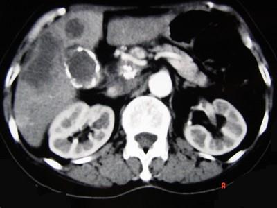
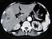
女,66岁,右上腹痛,发热伴有黄疸两月余,消瘦、纳差,影像检查如图,最可能的诊断是 ( )A、肝内胆管细胞癌B、胆囊癌及原发性肝癌C、...

作者: rantiku 人气: - 评论: 0
问题 女,66岁,右上腹痛,发热伴有黄疸两月余,消瘦、纳差,影像检查如图,最可能的诊断是 ( )
选项 A、肝内胆管细胞癌 B、胆囊癌及原发性肝癌 C、胆囊结石及肝血管瘤 D、胆囊癌肝转移 E、胆囊结石及脂肪肝
答案 D
解析

猜你喜欢

发表评论
更多 网友评论0 条评论)
暂无评论

访问排行

Copyright © 2012-2014 恰考网 Inc. 保留所有权利。 Powered by tikuer.com

页面耗时0.0510秒, 内存占用1.03 MB, Cache:redis,访问数据库16次