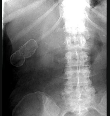
女,39岁,右上腹部隐痛,有慢性胆囊炎史,曾经做过口服胆囊造影,胆囊未正常显影,X线检查如图,最可能的诊断是 ( )A、瓷样胆囊B、胆囊结核C...

作者: rantiku 人气: - 评论: 0
问题 女,39岁,右上腹部隐痛,有慢性胆囊炎史,曾经做过口服胆囊造影,胆囊未正常显影,X线检查如图,最可能的诊断是 ( )
选项 A、瓷样胆囊 B、胆囊结核 C、慢性胆囊炎 D、胆囊结石 E、急性胆囊炎
答案 A
解析

猜你喜欢

发表评论
更多 网友评论0 条评论)
暂无评论
错误啦!

错误信息

  • 消息: [程序异常] : MISCONF Redis is configured to save RDB snapshots, but it's currently unable to persist to disk. Commands that may modify the data set are disabled, because this instance is configured to report errors during writes if RDB snapshotting fails (stop-writes-on-bgsave-error option). Please check the Redis logs for details about the RDB error.
  • 文件: /twcms/kongphp/cache/cache_redis.class.php
  • 位置: 第 85 行
    <?php echo 'KongPHP, Road to Jane.'; ?>