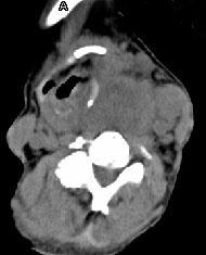
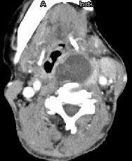
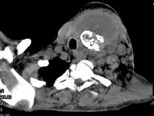
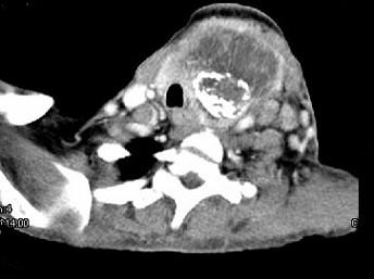
女,64岁,发现双甲状腺肿大一月余,CT如图所示,最可能诊断为 ( )A、甲状腺转移瘤B、甲状腺结核C、甲状腺腺瘤D、甲状腺癌...

作者: rantiku 人气: - 评论: 0
问题 女,64岁,发现双甲状腺肿大一月余,CT如图所示,最可能诊断为 ( )
选项 A、甲状腺转移瘤 B、甲状腺结核 C、甲状腺腺瘤 D、甲状腺癌并淋巴结转移 E、结节性甲状腺肿
答案 D
解析

猜你喜欢

发表评论
更多 网友评论0 条评论)
暂无评论

访问排行

Copyright © 2012-2014 恰考网 Inc. 保留所有权利。 Powered by tikuer.com

页面耗时0.0436秒, 内存占用1.03 MB, Cache:redis,访问数据库14次