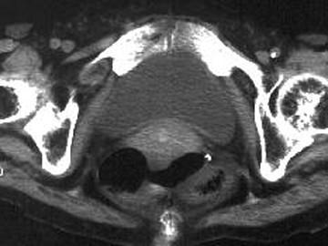
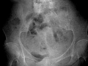
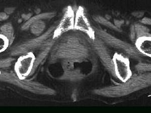
女,69岁,阵发性腹痛伴恶心呕吐7h,10年前因右侧腹股沟斜疝行手术治疗,因急性肠梗阻行CT扫描如图,最可能的诊断是 ( )A、半月线疝B...

作者: rantiku 人气: - 评论: 0
问题 女,69岁,阵发性腹痛伴恶心呕吐7h,10年前因右侧腹股沟斜疝行手术治疗,因急性肠梗阻行CT扫描如图,最可能的诊断是 ( )
选项 A、半月线疝 B、闭孔疝 C、股疝 D、腹外斜疝 E、急性肠梗阻
答案 B
解析

猜你喜欢

发表评论
更多 网友评论0 条评论)
暂无评论

访问排行

Copyright © 2012-2014 恰考网 Inc. 保留所有权利。 Powered by tikuer.com

页面耗时0.0685秒, 内存占用1.03 MB, Cache:redis,访问数据库14次