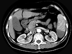
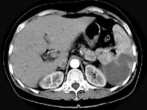
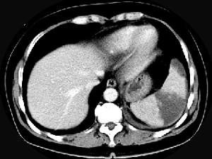
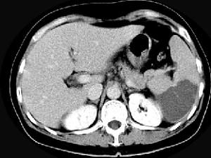
女、54岁,左上腹痛,CT检查如图,最可能的诊断是 ( )A、脾血管瘤B、脾转移瘤C、脾脓肿D、脾梗死E、脾淋巴瘤

作者: rantiku 人气: - 评论: 0
问题 女、54岁,左上腹痛,CT检查如图,最可能的诊断是 ( )
选项 A、脾血管瘤 B、脾转移瘤 C、脾脓肿 D、脾梗死 E、脾淋巴瘤
答案 D
解析

猜你喜欢

发表评论
更多 网友评论0 条评论)
暂无评论

访问排行

Copyright © 2012-2014 恰考网 Inc. 保留所有权利。 Powered by tikuer.com

页面耗时0.0521秒, 内存占用1.03 MB, Cache:redis,访问数据库17次