男,55岁,左上中腹部突发性疼痛,CT扫描如图,最可能的诊断是 ( )A、脾脓肿B、脾转移瘤C、脾淋巴瘤D、脾血管瘤E、脾...

作者: rantiku 人气: - 评论: 0
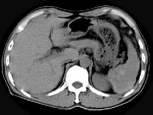
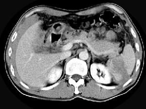
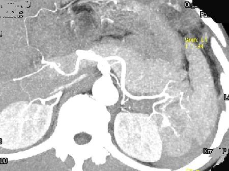
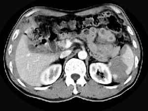
问题 男,55岁,左上中腹部突发性疼痛,CT扫描如图,最可能的诊断是 ( )
选项 A、脾脓肿 B、脾转移瘤 C、脾淋巴瘤 D、脾血管瘤 E、脾肿瘤破裂出血
答案 E
解析

猜你喜欢

发表评论
更多 网友评论0 条评论)
暂无评论

访问排行

Copyright © 2012-2014 恰考网 Inc. 保留所有权利。 Powered by tikuer.com

页面耗时0.0566秒, 内存占用1.03 MB, Cache:redis,访问数据库20次