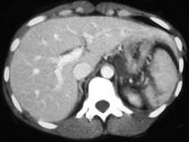
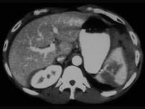
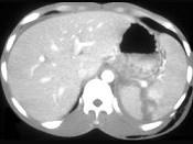
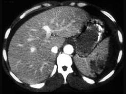
下列图像最佳诊断是 ( )A、脾破裂B、结肠破裂C、胰腺损伤D、小肠破裂E、肝破裂

作者: rantiku 人气: - 评论: 0
问题 下列图像最佳诊断是 ( )
选项 A、脾破裂 B、结肠破裂 C、胰腺损伤 D、小肠破裂 E、肝破裂
答案 A
解析

猜你喜欢

发表评论
更多 网友评论0 条评论)
暂无评论

访问排行

Copyright © 2012-2014 恰考网 Inc. 保留所有权利。 Powered by tikuer.com

页面耗时0.0356秒, 内存占用1.03 MB, Cache:redis,访问数据库19次