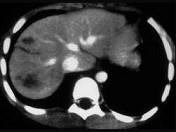
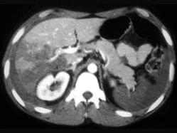
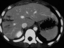
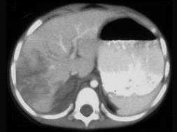
下列图像最佳诊断是 ( )A、小肠破裂B、胰腺损伤C、结肠破裂D、肝破裂E、脾破裂

作者: rantiku 人气: - 评论: 0
问题 下列图像最佳诊断是 ( )
选项 A、小肠破裂 B、胰腺损伤 C、结肠破裂 D、肝破裂 E、脾破裂
答案 D
解析

猜你喜欢

发表评论
更多 网友评论0 条评论)
暂无评论

访问排行

Copyright © 2012-2014 恰考网 Inc. 保留所有权利。 Powered by tikuer.com

页面耗时0.0510秒, 内存占用1.03 MB, Cache:redis,访问数据库15次