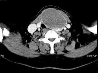
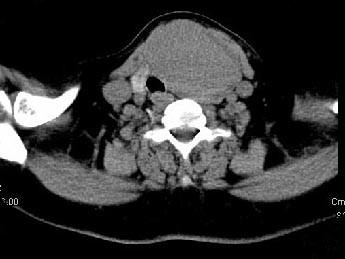
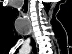
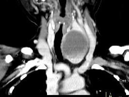
女,56岁 ,发现颈部肿块一月余,CT如图所示,最可能诊断为 ( )A、甲状腺腺瘤B、甲状腺脓肿C、甲状腺乳头状癌D、甲状腺原...

作者: rantiku 人气: - 评论: 0
问题 女,56岁 ,发现颈部肿块一月余,CT如图所示,最可能诊断为 ( )
选项 A、甲状腺腺瘤 B、甲状腺脓肿 C、甲状腺乳头状癌 D、甲状腺原发淋巴瘤 E、甲状舌管囊肿
答案 A
解析

猜你喜欢

发表评论
更多 网友评论0 条评论)
暂无评论

访问排行

Copyright © 2012-2014 恰考网 Inc. 保留所有权利。 Powered by tikuer.com

页面耗时0.0604秒, 内存占用1.03 MB, Cache:redis,访问数据库14次