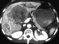
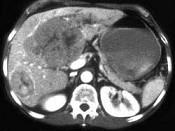
女,67岁,右上腹疼痛,消瘦4个月余,CT检查如图,最可能的诊断是 ( )A、肝转移瘤B、肝囊肿C、肝脓肿D、肝癌E、肝血管瘤

作者: rantiku 人气: - 评论: 0
问题 女,67岁,右上腹疼痛,消瘦4个月余,CT检查如图,最可能的诊断是 ( )
选项 A、肝转移瘤 B、肝囊肿 C、肝脓肿 D、肝癌 E、肝血管瘤
答案 D
解析

猜你喜欢

发表评论
更多 网友评论0 条评论)
暂无评论

访问排行

Copyright © 2012-2014 恰考网 Inc. 保留所有权利。 Powered by tikuer.com

页面耗时0.0520秒, 内存占用1.03 MB, Cache:redis,访问数据库19次