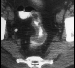
男,53岁,便秘、血便,大便变细,CT如图,应考虑为 ( )A、慢性溃疡性结肠炎B、直肠淋巴瘤C、直肠结核D、溃疡型直肠癌E、肠c...

作者: rantiku 人气: - 评论: 0
问题 男,53岁,便秘、血便,大便变细,CT如图,应考虑为 ( )
选项 A、慢性溃疡性结肠炎 B、直肠淋巴瘤 C、直肠结核 D、溃疡型直肠癌 E、肠crohn病
答案 D
解析

猜你喜欢

发表评论
更多 网友评论0 条评论)
暂无评论

访问排行

Copyright © 2012-2014 恰考网 Inc. 保留所有权利。 Powered by tikuer.com

页面耗时0.0502秒, 内存占用1.03 MB, Cache:redis,访问数据库14次