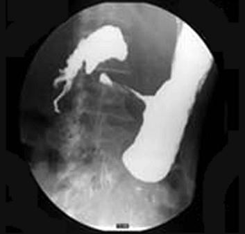
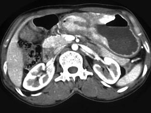
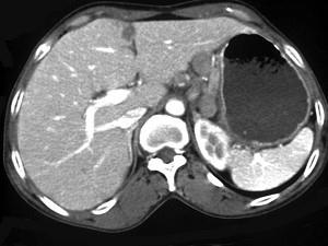
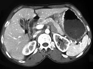
女,56岁,上腹部钝痛、腹胀不适一月余,纳差、消瘦,影像检查如图,最可能的诊断是 ( )A、胃间质瘤B、胃恶性间质瘤C、胃腺癌并幽...

作者: rantiku 人气: - 评论: 0
问题 女,56岁,上腹部钝痛、腹胀不适一月余,纳差、消瘦,影像检查如图,最可能的诊断是 ( )
选项 A、胃间质瘤 B、胃恶性间质瘤 C、胃腺癌并幽门狭窄 D、胃淋巴瘤 E、胃幽门管溃疡
答案 C
解析

猜你喜欢

发表评论
更多 网友评论0 条评论)
暂无评论

访问排行

Copyright © 2012-2014 恰考网 Inc. 保留所有权利。 Powered by tikuer.com

页面耗时0.0470秒, 内存占用1.03 MB, Cache:redis,访问数据库19次