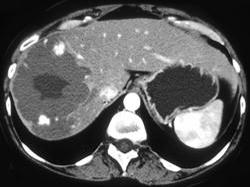
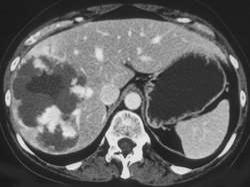
男,46岁,右上腹胀痛不适2月余,请结合CT图像,选择最可能诊断 ( )A、肝囊肿B、肝转移癌C、肝血管瘤D、肝脓肿E、肝癌

作者: rantiku 人气: - 评论: 0
问题 男,46岁,右上腹胀痛不适2月余,请结合CT图像,选择最可能诊断 ( )
选项 A、肝囊肿 B、肝转移癌 C、肝血管瘤 D、肝脓肿 E、肝癌
答案 C
解析

猜你喜欢

发表评论
更多 网友评论0 条评论)
暂无评论

访问排行

Copyright © 2012-2014 恰考网 Inc. 保留所有权利。 Powered by tikuer.com

页面耗时0.0578秒, 内存占用1.03 MB, Cache:redis,访问数据库18次