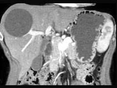
女性,45岁,偶有右上腹部胀痛,CT检查见图,最可能的诊断是 ( )A、肝血管瘤B、肝棘球蚴病C、肝囊肿D、肝脓肿E、肝癌

作者: rantiku 人气: - 评论: 0
问题 女性,45岁,偶有右上腹部胀痛,CT检查见图,最可能的诊断是 ( )
选项 A、肝血管瘤 B、肝棘球蚴病 C、肝囊肿 D、肝脓肿 E、肝癌
答案 C
解析

猜你喜欢

发表评论
更多 网友评论0 条评论)
暂无评论

访问排行

Copyright © 2012-2014 恰考网 Inc. 保留所有权利。 Powered by tikuer.com

页面耗时0.0343秒, 内存占用1.03 MB, Cache:redis,访问数据库19次