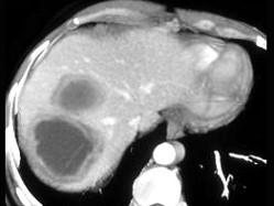
男,41岁,发热、右季肋部疼痛十余天.请根据CT图像,选择最可能的诊断 ( )A、肝囊肿B、肝包虫病C、阿米巴肝脓肿D、肝结核E、肝癌

作者: rantiku 人气: - 评论: 0
问题 男,41岁,发热、右季肋部疼痛十余天.请根据CT图像,选择最可能的诊断 ( )
选项 A、肝囊肿 B、肝包虫病 C、阿米巴肝脓肿 D、肝结核 E、肝癌
答案 C
解析

猜你喜欢

发表评论
更多 网友评论0 条评论)
暂无评论

访问排行

Copyright © 2012-2014 恰考网 Inc. 保留所有权利。 Powered by tikuer.com

页面耗时0.0653秒, 内存占用1.03 MB, Cache:redis,访问数据库17次