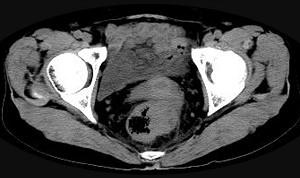
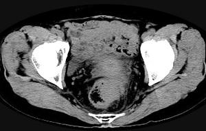
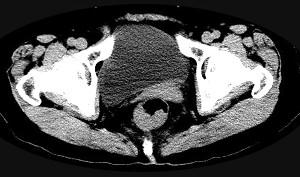
男,56岁,排便形状改变,便不尽感,CT检查如图所示,下列说法正确的是 ( )A、此为直肠息肉B、此为直肠癌C、其表面光滑,边界清...

作者: rantiku 人气: - 评论: 0
问题 男,56岁,排便形状改变,便不尽感,CT检查如图所示,下列说法正确的是 ( )
选项 A、此为直肠息肉 B、此为直肠癌 C、其表面光滑,边界清楚 D、肠腔未见狭窄 E、肠壁上有蒂状新生物
答案 B
解析

猜你喜欢

发表评论
更多 网友评论0 条评论)
暂无评论

访问排行

Copyright © 2012-2014 恰考网 Inc. 保留所有权利。 Powered by tikuer.com

页面耗时0.0349秒, 内存占用1.03 MB, Cache:redis,访问数据库19次