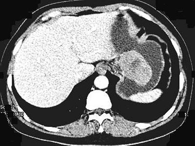
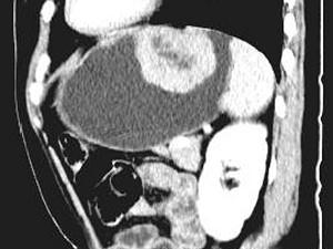
女,51岁,上腹部隐痛不适,CT检查如图,可能的诊断是 ( )A、胃溃疡B、胃间质瘤C、胃息肉D、胃腺瘤E、胃癌

作者: rantiku 人气: - 评论: 0
问题 女,51岁,上腹部隐痛不适,CT检查如图,可能的诊断是 ( )
选项 A、胃溃疡 B、胃间质瘤 C、胃息肉 D、胃腺瘤 E、胃癌
答案 B
解析

猜你喜欢

发表评论
更多 网友评论0 条评论)
暂无评论

访问排行

Copyright © 2012-2014 恰考网 Inc. 保留所有权利。 Powered by tikuer.com

页面耗时0.0332秒, 内存占用1.03 MB, Cache:redis,访问数据库14次