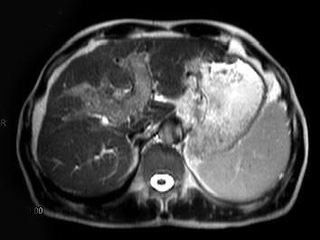
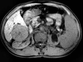
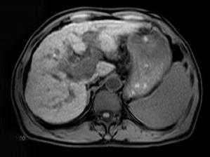
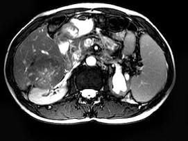
男,65岁。右上腹部疼痛不适,乏力4月余。AFP升高。MRI如下图所示。应诊断为 ( )A、转移瘤B、未见异常C、胆管细胞癌D...

作者: rantiku 人气: - 评论: 0
问题 男,65岁。右上腹部疼痛不适,乏力4月余。AFP升高。MRI如下图所示。应诊断为 ( )
选项 A、转移瘤 B、未见异常 C、胆管细胞癌 D、肝腺瘤 E、肝右叶肝细胞癌并门脉癌栓形成
答案 E
解析

猜你喜欢

发表评论
更多 网友评论0 条评论)
暂无评论

访问排行

Copyright © 2012-2014 恰考网 Inc. 保留所有权利。 Powered by tikuer.com

页面耗时0.0456秒, 内存占用1.03 MB, Cache:redis,访问数据库14次