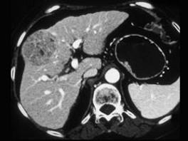
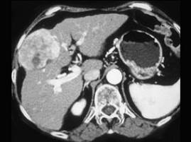
女,55岁,右上腹痛,消瘦乏力3个月,请结合图像诊断为 ( )A、肝脓肿B、肝转移癌C、肝腺瘤D、肝癌E、肝血管瘤

作者: rantiku 人气: - 评论: 0
问题 女,55岁,右上腹痛,消瘦乏力3个月,请结合图像诊断为 ( )
选项 A、肝脓肿 B、肝转移癌 C、肝腺瘤 D、肝癌 E、肝血管瘤
答案 D
解析

猜你喜欢

发表评论
更多 网友评论0 条评论)
暂无评论

访问排行

Copyright © 2012-2014 恰考网 Inc. 保留所有权利。 Powered by tikuer.com

页面耗时0.0369秒, 内存占用1.03 MB, Cache:redis,访问数据库18次