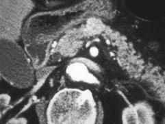
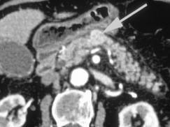
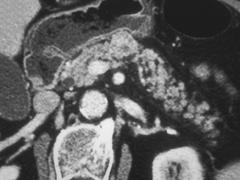
有关胰岛素瘤的陈述,哪一项是错误的 ( )A、典型症状是清晨自发性低血糖B、是胰腺内分泌肿瘤中最常见的C、绝大多数是恶性肿瘤D...

作者: rantiku 人气: - 评论: 0
问题 有关胰岛素瘤的陈述,哪一项是错误的 ( )
选项 A、典型症状是清晨自发性低血糖 B、是胰腺内分泌肿瘤中最常见的 C、绝大多数是恶性肿瘤 D、单发肿瘤占90%以上 E、给予葡萄糖或进餐后症状缓解
答案 C
解析

猜你喜欢

发表评论
更多 网友评论0 条评论)
暂无评论

访问排行

Copyright © 2012-2014 恰考网 Inc. 保留所有权利。 Powered by tikuer.com

页面耗时0.0351秒, 内存占用1.03 MB, Cache:redis,访问数据库15次