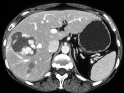
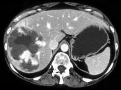
成年男性,右上腹不适,CT检查如图所示,请选出最可能诊断 ( )A、肝囊肿B、肝包虫病C、肝癌D、肝脓肿E、肝血管瘤

作者: rantiku 人气: - 评论: 0
问题 成年男性,右上腹不适,CT检查如图所示,请选出最可能诊断 ( )
选项 A、肝囊肿 B、肝包虫病 C、肝癌 D、肝脓肿 E、肝血管瘤
答案 E
解析

猜你喜欢

发表评论
更多 网友评论0 条评论)
暂无评论

访问排行

Copyright © 2012-2014 恰考网 Inc. 保留所有权利。 Powered by tikuer.com

页面耗时0.0741秒, 内存占用1.03 MB, Cache:redis,访问数据库14次