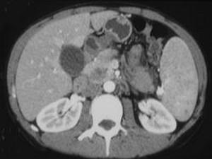
女,56岁,腹部胀痛不适、食欲减退,影像表现如下图,最佳诊断是 ( )A、胰腺转移癌B、胰腺假性囊肿C、慢性胰腺炎D、胰腺腺癌E、...

作者: rantiku 人气: - 评论: 0
问题 女,56岁,腹部胀痛不适、食欲减退,影像表现如下图,最佳诊断是 ( )
选项 A、胰腺转移癌 B、胰腺假性囊肿 C、慢性胰腺炎 D、胰腺腺癌 E、急性胰腺炎
答案 D
解析

猜你喜欢

发表评论
更多 网友评论0 条评论)
暂无评论

访问排行

Copyright © 2012-2014 恰考网 Inc. 保留所有权利。 Powered by tikuer.com

页面耗时0.0695秒, 内存占用1.03 MB, Cache:redis,访问数据库19次