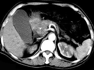
男50岁黄疸进行性加重、腹部胀痛不适、食欲减退、体重减轻、上腹部可触及肿块,CT如图,最可能的诊断为 ( )A、腹膜后淋巴瘤B、转移瘤...

作者: rantiku 人气: - 评论: 0
问题 男50岁黄疸进行性加重、腹部胀痛不适、食欲减退、体重减轻、上腹部可触及肿块,CT如图,最可能的诊断为 ( )
选项 A、腹膜后淋巴瘤 B、转移瘤 C、慢性胰腺炎 D、胰头癌 E、急性胰腺炎
答案 D
解析

猜你喜欢

发表评论
更多 网友评论0 条评论)
暂无评论

访问排行

Copyright © 2012-2014 恰考网 Inc. 保留所有权利。 Powered by tikuer.com

页面耗时0.0393秒, 内存占用1.03 MB, Cache:redis,访问数据库19次