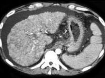
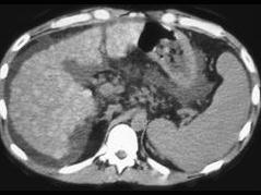
男,15岁,进行性肢体震颤,肌张力增高,实验室检查尿铜125μg/g,CT检查如图,应诊断为 ( )A、肝血色素沉着症B、结节性肝癌C、肝...

作者: rantiku 人气: - 评论: 0
问题 男,15岁,进行性肢体震颤,肌张力增高,实验室检查尿铜125μg/g,CT检查如图,应诊断为 ( )
选项 A、肝血色素沉着症 B、结节性肝癌 C、肝硬化 D、肝转移瘤 E、肝豆状核变性
答案 E
解析

猜你喜欢

发表评论
更多 网友评论0 条评论)
暂无评论

访问排行

Copyright © 2012-2014 恰考网 Inc. 保留所有权利。 Powered by tikuer.com

页面耗时0.0750秒, 内存占用1.03 MB, Cache:redis,访问数据库18次