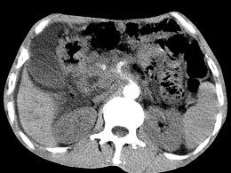
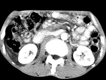
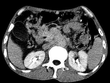
女,50岁,中上腹疼痛,消瘦乏力,影像检查如下图,最佳的诊断是 ( )A、胰岛素瘤B、腹膜后淋巴瘤C、急性胰腺炎D、胰腺癌并腹...

作者: rantiku 人气: - 评论: 0
问题 女,50岁,中上腹疼痛,消瘦乏力,影像检查如下图,最佳的诊断是 ( )
选项 A、胰岛素瘤 B、腹膜后淋巴瘤 C、急性胰腺炎 D、胰腺癌并腹膜后淋巴结转移 E、慢性胰腺炎
答案 D
解析

猜你喜欢

发表评论
更多 网友评论0 条评论)
暂无评论

访问排行

Copyright © 2012-2014 恰考网 Inc. 保留所有权利。 Powered by tikuer.com

页面耗时0.0520秒, 内存占用1.03 MB, Cache:redis,访问数据库17次