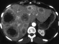
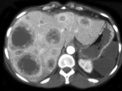
女,65岁,食管癌术后2年,CT检查如图,应诊断为 ( )A、肝囊肿B、肝结核C、肝转移瘤D、肝棘球蚴病E、肝脓肿

作者: rantiku 人气: - 评论: 0
问题 女,65岁,食管癌术后2年,CT检查如图,应诊断为 ( )
选项 A、肝囊肿 B、肝结核 C、肝转移瘤 D、肝棘球蚴病 E、肝脓肿
答案 C
解析

猜你喜欢

发表评论
更多 网友评论0 条评论)
暂无评论

访问排行

Copyright © 2012-2014 恰考网 Inc. 保留所有权利。 Powered by tikuer.com

页面耗时0.0658秒, 内存占用1.02 MB, Cache:redis,访问数据库13次