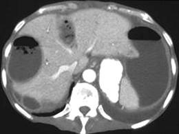
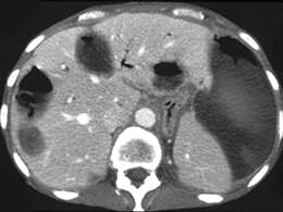
男,67岁,右上腹痛、腹胀,右季肋区叩击痛,体温39℃,CT检查如图,最可能的诊断是 ( )A、肝转移癌B、肝淋巴管瘤C、多发性肝脓肿...

作者: rantiku 人气: - 评论: 0
问题 男,67岁,右上腹痛、腹胀,右季肋区叩击痛,体温39℃,CT检查如图,最可能的诊断是 ( )
选项 A、肝转移癌 B、肝淋巴管瘤 C、多发性肝脓肿 D、肝包膜下出血伴囊变 E、多发性肝囊肿
答案 C
解析

猜你喜欢

发表评论
更多 网友评论0 条评论)
暂无评论
错误啦!

错误信息

  • 消息: [程序异常] : MISCONF Redis is configured to save RDB snapshots, but it's currently unable to persist to disk. Commands that may modify the data set are disabled, because this instance is configured to report errors during writes if RDB snapshotting fails (stop-writes-on-bgsave-error option). Please check the Redis logs for details about the RDB error.
  • 文件: /twcms/kongphp/cache/cache_redis.class.php
  • 位置: 第 85 行
    <?php echo 'KongPHP, Road to Jane.'; ?>