女,35岁,右上腹痛一月,黄疸进行性加重,AFP阴性,消瘦乏力,影像检查如图,最可能的诊断为 ( )A、原发性肝癌B、肝血管瘤C、...

作者: rantiku 人气: - 评论: 0
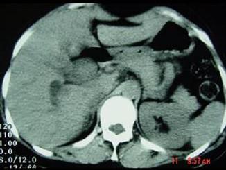
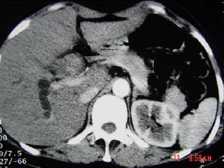
问题 女,35岁,右上腹痛一月,黄疸进行性加重,AFP阴性,消瘦乏力,影像检查如图,最可能的诊断为 ( )
选项 A、原发性肝癌 B、肝血管瘤 C、胆管癌 D、局灶性脂肪肝 E、肝转移癌
答案 C
解析

猜你喜欢

发表评论
更多 网友评论0 条评论)
暂无评论

访问排行

Copyright © 2012-2014 恰考网 Inc. 保留所有权利。 Powered by tikuer.com

页面耗时0.0455秒, 内存占用1.03 MB, Cache:redis,访问数据库18次