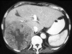
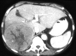
男,69岁,肝区疼痛,消瘦乏力三月余,CT检查如图,请作出最可能诊断 ( )A、肝转移瘤B、巨块型肝癌C、肝脓肿D、肝血管瘤E、肝囊肿

作者: rantiku 人气: - 评论: 0
问题 男,69岁,肝区疼痛,消瘦乏力三月余,CT检查如图,请作出最可能诊断 ( )
选项 A、肝转移瘤 B、巨块型肝癌 C、肝脓肿 D、肝血管瘤 E、肝囊肿
答案 B
解析

猜你喜欢

发表评论
更多 网友评论0 条评论)
暂无评论

访问排行

Copyright © 2012-2014 恰考网 Inc. 保留所有权利。 Powered by tikuer.com

页面耗时0.0338秒, 内存占用1.03 MB, Cache:redis,访问数据库18次