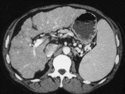
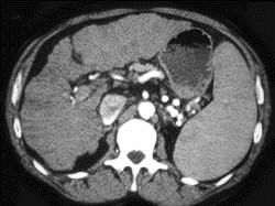
男,71岁,继往有肝炎病史,CT检查如图,请选择最佳诊断 ( )A、肝转移瘤B、肝色素沉着症C、肝癌D、肝硬化E、脂肪肝

作者: rantiku 人气: - 评论: 0
问题 男,71岁,继往有肝炎病史,CT检查如图,请选择最佳诊断 ( )
选项 A、肝转移瘤 B、肝色素沉着症 C、肝癌 D、肝硬化 E、脂肪肝
答案 D
解析

猜你喜欢

发表评论
更多 网友评论0 条评论)
暂无评论
错误啦!

错误信息

  • 消息: [程序异常] : MISCONF Redis is configured to save RDB snapshots, but it's currently unable to persist to disk. Commands that may modify the data set are disabled, because this instance is configured to report errors during writes if RDB snapshotting fails (stop-writes-on-bgsave-error option). Please check the Redis logs for details about the RDB error.
  • 文件: /twcms/kongphp/cache/cache_redis.class.php
  • 位置: 第 85 行
    <?php echo 'KongPHP, Road to Jane.'; ?>