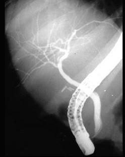
下列各图为何种胆道造影方式 ( )A、内镜逆行胰胆管造影(ERCP)B、磁共振胆胰管造影(MRCP)C、静脉胆道造影D、经皮肝穿刺胆道...

作者: rantiku 人气: - 评论: 0
问题 下列各图为何种胆道造影方式 ( )
选项 A、内镜逆行胰胆管造影(ERCP) B、磁共振胆胰管造影(MRCP) C、静脉胆道造影 D、经皮肝穿刺胆道造影(PTC) E、口服胆囊造影
答案 A
解析

猜你喜欢

发表评论
更多 网友评论0 条评论)
暂无评论

访问排行

Copyright © 2012-2014 恰考网 Inc. 保留所有权利。 Powered by tikuer.com

页面耗时0.0495秒, 内存占用1.03 MB, Cache:redis,访问数据库13次