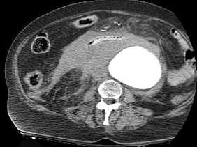
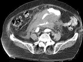
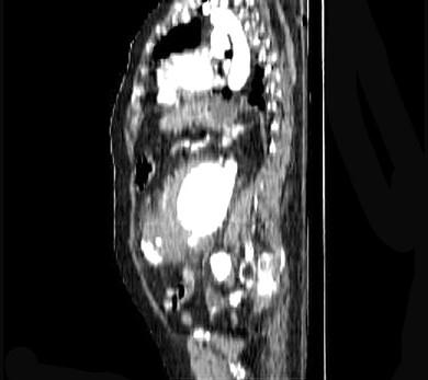
关于腹主动脉瘤,下列哪项是正确的 ( )A、外科手术是根治腹主动脉瘤的唯一方法B、CT能够更准确地显示瘤体的三维形态体征C、腹主动脉瘤...

作者: rantiku 人气: - 评论: 0
问题 关于腹主动脉瘤,下列哪项是正确的 ( )
选项 A、外科手术是根治腹主动脉瘤的唯一方法 B、CT能够更准确地显示瘤体的三维形态体征 C、腹主动脉瘤病人出现腹痛或腰背痛时意味着动脉瘤破裂 D、MRI在造影剂的帮助下可以充分显示瘤体的大小 E、直径2cm以上的动脉瘤可以用超声多普勒检查出来
答案 C
解析

猜你喜欢

发表评论
更多 网友评论0 条评论)
暂无评论

访问排行

Copyright © 2012-2014 恰考网 Inc. 保留所有权利。 Powered by tikuer.com

页面耗时0.0486秒, 内存占用1.03 MB, Cache:redis,访问数据库18次