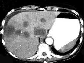
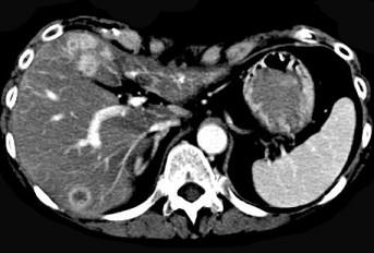
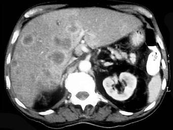
继发性肝癌诊断的关键是 ( )A、行CT检查B、测定血清甲胎蛋白C、行肝动脉造影检查D、行放射核素扫描E、查清原发癌灶单选题

作者: rantiku 人气: - 评论: 0
问题 继发性肝癌诊断的关键是 ( )
选项 A、行CT检查 B、测定血清甲胎蛋白 C、行肝动脉造影检查 D、行放射核素扫描 E、查清原发癌灶 单选题
答案 E
解析

猜你喜欢

发表评论
更多 网友评论0 条评论)
暂无评论

访问排行

Copyright © 2012-2014 恰考网 Inc. 保留所有权利。 Powered by tikuer.com

页面耗时0.0377秒, 内存占用1.03 MB, Cache:redis,访问数据库20次