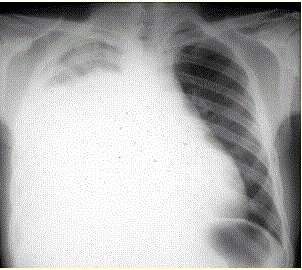
患者男,34岁。进行性胸闷、气促1个月余,伴有干咳、右胸隐痛以及消瘦,无咯血、发热、盗汗、潮热等。该患者的初步诊断是(提示 胸部X线检查如图所示。)...

作者: rantiku 人气: - 评论: 0
问题  患者男,34岁。进行性胸闷、气促1个月余,伴有干咳、右胸隐痛以及消瘦,无咯血、发热、盗汗、潮热等。 该患者的初步诊断是(提示 胸部X线检查如图所示。)
选项 A、肺血栓栓塞症 B、右侧气胸 C、右侧液气胸 D、右侧大叶性肺炎 E、右侧气胸 F、右侧肺不张 G、右侧大量胸腔积液
答案 G
解析 G

猜你喜欢

发表评论
更多 网友评论0 条评论)
暂无评论

访问排行

Copyright © 2012-2014 恰考网 Inc. 保留所有权利。 Powered by tikuer.com

页面耗时0.0430秒, 内存占用1.03 MB, Cache:redis,访问数据库13次