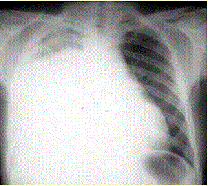
患者男,34岁。进行性胸闷、气促1个月余,伴有干咳、右胸隐痛以及消瘦,无咯血、发热、盗汗、潮热等。为进一步明确病因诊断,应选择的检查是(提示 患者既...

作者: rantiku 人气: - 评论: 0
问题  患者男,34岁。进行性胸闷、气促1个月余,伴有干咳、右胸隐痛以及消瘦,无咯血、发热、盗汗、潮热等。 为进一步明确病因诊断,应选择的检查是(提示 患者既往有“慢性胃炎”史10年,未详细检查过,近半年有上腹隐痛、食欲减退、体重减轻。无吸烟及酗酒史,否认肝炎、肺结核病史。)
选项 A、超声心动图检查 B、血清ANA、抗dsDNA抗体、抗Sm抗体检测 C、胸腔积液细菌培养 D、PPD皮试 E、肺功能检查 F、心电图检查 G、胸部CT检查 H、胸腔积液沉淀找癌细胞 I、胸腔积液沉淀找抗酸杆菌 J、胃镜检查 K、胸膜活检病理检查 L、痰找抗酸杆菌检查
答案 GHJK
解析 GHJK

猜你喜欢

发表评论
更多 网友评论0 条评论)
暂无评论

访问排行

Copyright © 2012-2014 恰考网 Inc. 保留所有权利。 Powered by tikuer.com

页面耗时0.0497秒, 内存占用1.03 MB, Cache:redis,访问数据库18次