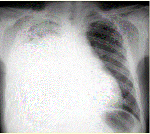
患者男,34岁。进行性胸闷、气促1个月余,伴有干咳、右胸隐痛以及消瘦,无咯血、发热、盗汗、潮热等。诊断明确后可考虑的治疗方法是(提示 患者经积极处理...

作者: rantiku 人气: - 评论: 0
问题  患者男,34岁。进行性胸闷、气促1个月余,伴有干咳、右胸隐痛以及消瘦,无咯血、发热、盗汗、潮热等。 诊断明确后可考虑的治疗方法是(提示 患者经积极处理后上述症状明显好转。1周后已明确诊断。)
选项 A、埋置胸腔导管引流 B、抗感染治疗 C、利尿治疗 D、化学性胸膜固定术 E、全身化疗 F、抗结核治疗 G、外科手术
答案 ADE
解析 ADE

猜你喜欢

发表评论
更多 网友评论0 条评论)
暂无评论

访问排行

Copyright © 2012-2014 恰考网 Inc. 保留所有权利。 Powered by tikuer.com

页面耗时0.0557秒, 内存占用1.03 MB, Cache:redis,访问数据库13次