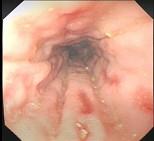
患者,男,60岁,反复上腹痛体体重下降1年入院。查体:心肺腹未见异常。电子胃镜结果如图,诊断为 ( )A、胃窦溃疡B、胃癌C、胃体溃疡...

作者: rantiku 人气: - 评论: 0
问题 患者,男,60岁,反复上腹痛体体重下降1年入院。查体:心肺腹未见异常。电子胃镜结果如图,诊断为 ( )
选项 A、胃窦溃疡 B、胃癌 C、胃体溃疡 D、胃角溃疡 E、胃底溃疡
答案 C
解析

猜你喜欢

发表评论
更多 网友评论0 条评论)
暂无评论

访问排行

Copyright © 2012-2014 恰考网 Inc. 保留所有权利。 Powered by tikuer.com

页面耗时0.0298秒, 内存占用1.03 MB, Cache:redis,访问数据库19次