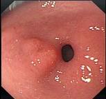
男,70岁,剑突下疼痛伴进行性咽下困难1个月,消瘦、乏力明显,粪隐血持续阳性,内镜及影像检查如下图,诊断为 ( )A、贲门癌B、胃癌 ...

作者: rantiku 人气: - 评论: 0
问题 男,70岁,剑突下疼痛伴进行性咽下困难1个月,消瘦、乏力明显,粪隐血持续阳性,内镜及影像检查如下图,诊断为 ( )
选项 A、贲门癌 B、胃癌 C、贲门息肉 D、胃溃疡 E、胃黄斑瘤
答案 A
解析

猜你喜欢

发表评论
更多 网友评论0 条评论)
暂无评论

访问排行

Copyright © 2012-2014 恰考网 Inc. 保留所有权利。 Powered by tikuer.com

页面耗时0.0276秒, 内存占用1.03 MB, Cache:redis,访问数据库19次