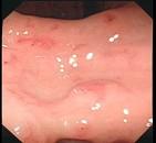
患者女性,45岁,吞咽阻挡感半年,伴咽下胸骨后疼痛,低热,咳嗽,乏力,查体,消瘦貌,浅表淋巴结无肿大,心肺查体无明显异常,胃镜检查如图,该患者最有可能是下...

作者: rantiku 人气: - 评论: 0
问题 患者女性,45岁,吞咽阻挡感半年,伴咽下胸骨后疼痛,低热,咳嗽,乏力,查体,消瘦貌,浅表淋巴结无肿大,心肺查体无明显异常,胃镜检查如图,该患者最有可能是下列哪种疾病 ( )
选项 A、食管结核 B、食管憩室 C、食管贲门失弛缓症 D、食管息肉 E、胃食管反流病
答案 A
解析

猜你喜欢

发表评论
更多 网友评论0 条评论)
暂无评论

访问排行

Copyright © 2012-2014 恰考网 Inc. 保留所有权利。 Powered by tikuer.com

页面耗时0.0708秒, 内存占用1.03 MB, Cache:redis,访问数据库19次