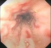
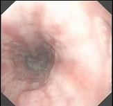
女性,49岁,近半月来出现上腹部隐痛、烧灼感、反酸、嗳气,弯腰或躺下时加重,但食欲良好,体重无减轻,胃镜如图,最可能的诊断是 ( )A、食管癌...

作者: rantiku 人气: - 评论: 0
问题 女性,49岁,近半月来出现上腹部隐痛、烧灼感、反酸、嗳气,弯腰或躺下时加重,但食欲良好,体重无减轻,胃镜如图,最可能的诊断是 ( )
选项 A、食管癌 B、胃溃疡 C、胃癌 D、胃食管反流病 E、慢性胃炎
答案 D
解析

猜你喜欢

发表评论
更多 网友评论0 条评论)
暂无评论

访问排行

Copyright © 2012-2014 恰考网 Inc. 保留所有权利。 Powered by tikuer.com

页面耗时0.0497秒, 内存占用1.03 MB, Cache:redis,访问数据库20次