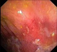
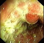
男性,68岁,腹痛1周,便血1天,既往有糖尿病和高血压病史。查体BP170/80mmHg,腹软,左下腹有压痛,无明显反跳痛,肠鸣音减弱。肠镜检查图片如下,...

作者: rantiku 人气: - 评论: 0
问题 男性,68岁,腹痛1周,便血1天,既往有糖尿病和高血压病史。查体BP170/80mmHg,腹软,左下腹有压痛,无明显反跳痛,肠鸣音减弱。肠镜检查图片如下,最可能的诊断是 ( )
选项 A、Crohn病 B、肠结核 C、大肠癌 D、溃疡性结肠炎 E、缺血性结肠炎
答案 E
解析

猜你喜欢

发表评论
更多 网友评论0 条评论)
暂无评论

访问排行

Copyright © 2012-2014 恰考网 Inc. 保留所有权利。 Powered by tikuer.com

页面耗时0.0558秒, 内存占用1.03 MB, Cache:redis,访问数据库20次