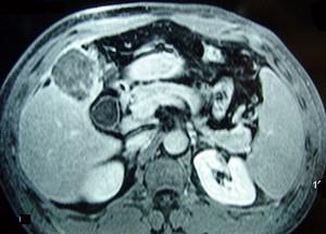
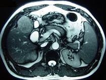
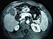
男性,60岁,右上腹胀不适,右肝区叩击痛,影像检查如图,最可能的诊断是 ( )A、肝硬化、膈下脓肿B、肝硬化、结节性增生C、肝硬化...

作者: rantiku 人气: - 评论: 0
问题 男性,60岁,右上腹胀不适,右肝区叩击痛,影像检查如图,最可能的诊断是 ( )
选项 A、肝硬化、膈下脓肿 B、肝硬化、结节性增生 C、肝硬化、再生性肝癌 D、肝硬化、腹腔间质瘤 E、肝硬化
答案 C
解析

猜你喜欢

发表评论
更多 网友评论0 条评论)
暂无评论

访问排行

Copyright © 2012-2014 恰考网 Inc. 保留所有权利。 Powered by tikuer.com

页面耗时0.0307秒, 内存占用1.03 MB, Cache:redis,访问数据库17次