女,30岁,右下腹痛,腹泻便秘交替出现,消瘦乏力,血沉加快,X线检查如图,最佳的诊断是 ( )A、结肠癌B、阑尾炎C、小肠结核D、...

作者: rantiku 人气: - 评论: 0
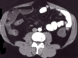
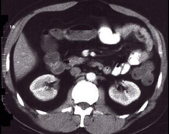
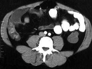
问题 女,30岁,右下腹痛,腹泻便秘交替出现,消瘦乏力,血沉加快,X线检查如图,最佳的诊断是 ( )
选项 A、结肠癌 B、阑尾炎 C、小肠结核 D、小肠克罗恩病 E、小肠癌
答案 D
解析

猜你喜欢

发表评论
更多 网友评论0 条评论)
暂无评论

访问排行

Copyright © 2012-2014 恰考网 Inc. 保留所有权利。 Powered by tikuer.com

页面耗时0.0321秒, 内存占用1.03 MB, Cache:redis,访问数据库18次