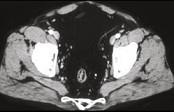
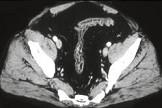
男,41岁,腹痛、腹泻、腹胀、脓血便、里急后重、疲乏无力,结合图像,选择最可诊断 ( )A、假膜性肠炎B、结肠淋巴瘤C、结肠克罗恩病D...

作者: rantiku 人气: - 评论: 0
问题 男,41岁,腹痛、腹泻、腹胀、脓血便、里急后重、疲乏无力,结合图像,选择最可诊断 ( )
选项 A、假膜性肠炎 B、结肠淋巴瘤 C、结肠克罗恩病 D、结肠结核 E、溃疡性结肠炎
答案 E
解析

猜你喜欢

发表评论
更多 网友评论0 条评论)
暂无评论

访问排行

Copyright © 2012-2014 恰考网 Inc. 保留所有权利。 Powered by tikuer.com

页面耗时0.0332秒, 内存占用1.03 MB, Cache:redis,访问数据库18次