男,32岁,肥胖,常酗酒,肝肋下一横指,肝区轻微压痛,影像表现如图,应诊断为 ( )A、肝豆状核变性B、肝含铁血黄素沉着C、肝硬化...

作者: rantiku 人气: - 评论: 0
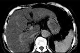
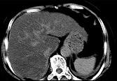
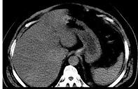
问题 男,32岁,肥胖,常酗酒,肝肋下一横指,肝区轻微压痛,影像表现如图,应诊断为 ( )
选项 A、肝豆状核变性 B、肝含铁血黄素沉着 C、肝硬化 D、脂肪肝 E、肝炎
答案 D
解析

猜你喜欢

发表评论
更多 网友评论0 条评论)
暂无评论

访问排行

Copyright © 2012-2014 恰考网 Inc. 保留所有权利。 Powered by tikuer.com

页面耗时0.0425秒, 内存占用1.03 MB, Cache:redis,访问数据库14次