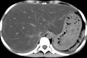
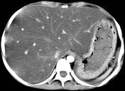
男,57岁,肥胖、糖尿病、血脂升高,CT扫描如下图,请问诊断或描述错误的是哪一项 ( )A、密度均匀减低B、血管影清唽可见C、脂肪肝D...

作者: rantiku 人气: - 评论: 0
问题 男,57岁,肥胖、糖尿病、血脂升高,CT扫描如下图,请问诊断或描述错误的是哪一项 ( )
选项 A、密度均匀减低 B、血管影清唽可见 C、脂肪肝 D、肝脏增大 E、肝硬化
答案 E
解析

猜你喜欢

发表评论
更多 网友评论0 条评论)
暂无评论

访问排行

Copyright © 2012-2014 恰考网 Inc. 保留所有权利。 Powered by tikuer.com

页面耗时0.0329秒, 内存占用1.03 MB, Cache:redis,访问数据库19次