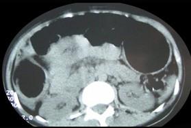
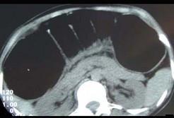
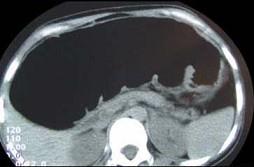
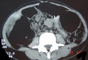
女,30岁,便秘、腹痛腹胀多年,CT检查如图,最可能的诊断是 ( )A、结肠肠扭转B、结肠肠栓塞C、先天性巨结肠D、结肠肠套叠...

作者: rantiku 人气: - 评论: 0
问题 女,30岁,便秘、腹痛腹胀多年,CT检查如图,最可能的诊断是 ( )
选项 A、结肠肠扭转 B、结肠肠栓塞 C、先天性巨结肠 D、结肠肠套叠 E、结肠肠梗阻
答案 C
解析

猜你喜欢

发表评论
更多 网友评论0 条评论)
暂无评论

访问排行

Copyright © 2012-2014 恰考网 Inc. 保留所有权利。 Powered by tikuer.com

页面耗时0.0424秒, 内存占用1.02 MB, Cache:redis,访问数据库15次